当サロンは、LINEからのみ
ご予約・ご相談を受け付けております。
医療ホワイトニングサロン繭について
About大分市トキハ会館すぐ、サロンのような心地よさ
「歯の医療ホワイトニング」を癒しの空間で。
あなただけに寄り添う、医療ホワイトニング。
歯科医院なのに、あなただけのプライベート空間で心地よく、
お一人さま限定で行うご予約制サロンです。
女性の方はもちろん、男性の方も気軽にお越しいただいています。

ご存知ですか?
”医療ホワイトニング”
歯の内部まで白くする
医療ホワイトニング
| どこで | ●オフィスホワイトニング 歯科医療機関のみ ●ホームホワイトニング ご自宅など(歯科医師・歯科衛生士の指導のもと) |
|---|---|
| 何を | 歯の表面についた着色汚れ 歯の内部に沈着した色素 |
| 何を 使って | 医療機器製品 |
歯の表面の着色を除去
非医療(セルフ)ホワイトニング
| どこで | ●セルフホワイトニング店 ●美容室 ●ネイルサロン ●エステサロン ●ご自宅など |
|---|---|
| 何を | 歯の表面についた着色汚れ |
| 何を 使って | 化粧品該当製品やホワイトニング歯磨き粉 |
医療ホワイトニングサロン繭
ホワイトニングへのこだわり
Point1 16年にわたる豊富な症例と実績をプライベートなサロンで

当サロンは、大分市東浜の「ビューティースマイル 高橋歯科医院」で、大分ではいち早く医療ホワイトニングを導入。以来16年間、「効果を実感できるホワイトニング」を追求し実績を重ねてきました。
歯科医院が苦手な方にも、リラックスして通っていただける場所をつくりたい──そんな想いから、2018年に大分市府内町(トキハ会館裏)にホワイトニング専門サロン「繭(まゆ)」を開設。おかげさまで、2025年に8周年を迎えました。
Point2 先を見据えた、あなたに最適なホワイトニング
医療ホワイトニングサロン繭(まゆ)では、丁寧なカウンセリングを重視しています。
年齢や生活習慣、歯の状態、知覚過敏の有無など、お口の状況は一人ひとり異なります。「失活歯」「テトラサイクリン歯」のホワイトニングも可能です。 16年の経験と豊富な症例をもとに、あなたに最適なホワイトニング方法をご提案します。
万が一、当サロンの施術で十分な効果が見込めないと判断した場合には、無理なご案内はいたしません。どうぞお気軽にご相談ください。

Point3 短期間で理想の白さへ

セルフホワイトニングでは、歯の表面についた汚れ(ステイン)を落とすことしかできません。
当サロンの「医療ホワイトニング」は、歯の内側に働きかける歯科医院専用の薬剤を使用し、歯そのものの色調を明るくすることが可能です。目指す白さや歯の状態に個人差はありますが、ほとんどの方が本来の歯の色以上に白くすることができ、短期間で施術を終了されています。 「本当に白くしたい」とお考えの方には、セルフではなく、医療ホワイトニングという選択をおすすめします。
Point4 寄り添う、安心の
アフターフォロー
医療ホワイトニングサロン繭(まゆ)では、施術後もお客さまに安心していただけるよう、きめ細やかなアフターフォローを大切にしています。
オフィスホワイトニング後の経過や、ホームホワイトニング中の不安・ご質問などにも、LINEで丁寧に対応しています。休診日や夜間でもご連絡いただければ、できる限り早くお返事を差し上げています。
また、白さをより長く保つためのセルフケアの方法や、食生活・生活習慣のアドバイスも行っています。施術して終わりではなく、「美しい歯をキープする」ための継続的なサポートで、お客さまの理想の笑顔に寄り添います。

Point5 満足して頂けるホワイトニングを、あなたに。
はじめまして。医療ホワイトニングサロン繭 院長、歯科医師の高橋敦子です。
お口もとの美しさと健康を手に入れて、自信を持ちたい。一歩前に踏み出したい。もっと素敵に輝きたい。そんな想いを抱く皆さまの「ターニングポイント」になりたくて『ホワイトニングサロン繭』をオープンし、今年で8周年を迎えました。
ホワイトニングの目的は、ただ歯を白くすることだけではありません。施術によって口もとの印象が明るくなり、笑顔に自信が生まれる。それが、前向きな変化のきっかけとなり、人生をより豊かに彩ってくれると、私たちは考えています。
あなたが本来持っている魅力を、さらに引き出すために。満足して頂けるホワイトニングを、ここでぜひ体感してください。

医療ホワイトニングサロン繭院長
歯科医師 高橋敦子
医療ホワイトニングサロン繭
ホワイトニングの
メニュー・料金
メニュー
オフィスホワイトニングは、歯科医院専用の薬剤とライトを使用して行う、医療機関でのみ受けられるホワイトニングです。施術は歯科医師または歯科衛生士が担当するため、安全性が高く、安心してお任せいただけます。
1回の施術でも白さを実感しやすい即効性があり、短期間で効果を得たい方におすすめです。ただホームホワイトニングと比べると、色の後戻りがやや早い傾向があります。
当サロンでは、エステサロンで使用されるベッドを導入し、完全ご予約制のプライベート空間で施術を行っています。リラックスしながら、医療ホワイトニングをご体験いただけます。
ホームホワイトニングは、自分の歯形に合ったマウスピースに、ご自宅でホワイトニングジェルを注入し装着して歯を白くしていく方法です。
効果を実感するまでには数週間かかりますが、白さが長持ちしやすく、色戻りが少ないのが特長です。
*当サロンでは、ホームホワイトニングのみは行っておりません。オフィスホワイトニングとセットになります。
(オフィス+ホーム)
デュアルホワイトニングは、オフィスホワイトニングとホームホワイトニングを併用する、効果の高いホワイトニング方法です。
即効性のあるオフィスホワイトニングの施術を行った後に、ホームホワイトニングを継続することで、オフィスホワイトニングの効果が高くなり、より確実で持続性のある白さを目指せます。
短期間で効果を実感しつつ、白さを長くキープしたい方におすすめです。
料金
デュアルホワイトニング
オフィスホワイトニング
医療ホワイトニングサロン繭
ホワイトニングの症例
医療ホワイトニングサロン繭(まゆ)で施術された方の実例をご紹介します。
一人ひとりに合わせたオーダーメイドの施術で、理想の白さを叶えています。
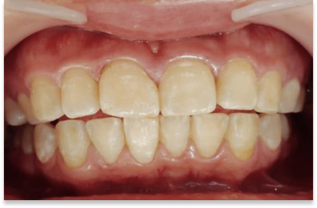
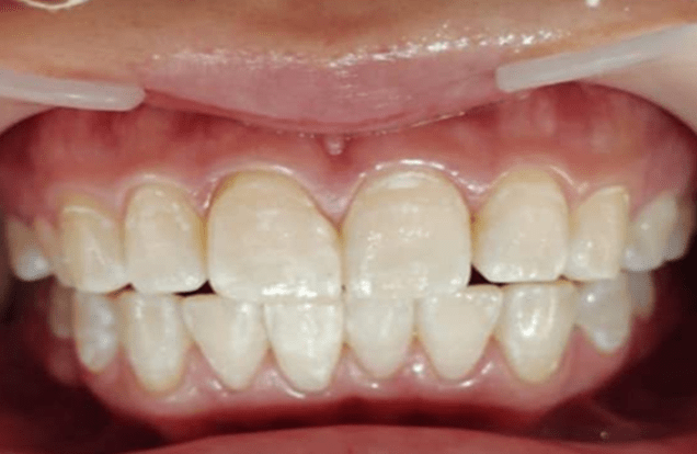
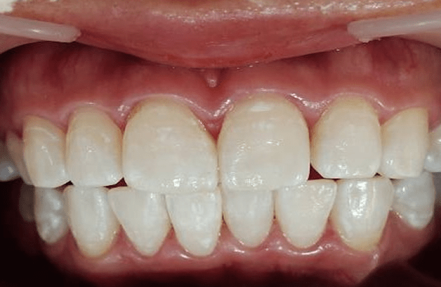
ケース1 60代女性
●Befor

●After1 オフィスホワイトニング後

●After2 ホームホワイトニング後

| 主訴 | 年齢による歯の黄ばみ |
|---|---|
| 施術内容 | デュアルホワイトニング ・オフィス1回 ・ホームジェル(1.2ml)4本中 3本使用 |
| 治療期間 | 10日間 |
| 治療費用 | 54,030円 |
| リスク | 知覚過敏を 起こすことがある |
ケース2 20代女性
●Befor

●After1 オフィスホワイトニング後

●After2 ホームホワイトニングチェック1回目

●After3 ホームホワイトニングチェック2回目

| 主訴 | ホワイトニングしたい |
|---|---|
| 施術内容 | デュアルホワイトニング ・オフィス1回 ・ホームジェル(1.2ml)2本 + ジェル(1.2ml)1本追加 |
| 治療期間 | 3週間 |
| 治療費用 | 49,830円 + 2,100円(ジェル1本追加)=51,930円 |
| リスク | 知覚過敏を 起こすことがある |
ホワイトニングの流れ
Flowデュアルホワイトニング
カウンセリング・相談は無料です。お申し込みの場合は型取りをする場合もあります。
+
ホームホワイトニングの進め方説明 (合計約2時間半)
もう少しホームホワイトニングが必要であれば続けていただき、
後日再度歯の色の確認。
オフィスホワイトニング
カウンセリング・相談は無料です。
「3つの約束」
Promiseその1
不安を解消、無料カウンセリング

歯の色の確認だけでなく、ホワイトニングへの不安や疑問も丁寧にお応えします。
その2
明瞭会計

1回ごとのご精算です。
コースや長期ローンを組ませての
販売はありません。
診察料、入会金もありません。
その3
勧誘はしません

無理な勧誘等は一切ありません、
お気軽にお越しください。
ホワイトニングは
「こんな方にオススメ」です

・より笑顔を魅力的に見せたい方
・結婚式や就職活動など大切なご予定の前準備として
・接客業の方
・アンチエイジングとして
ブログ
Blog店舗情報
Access〒870-0021
大分県大分市府内町1丁目1−18 よしとみビル 1F
トキハ会館裏(アフタヌーンティー側)向かいのビルです




営業時間/ 10:00 – 18:00
(受付:15:30まで、1日3名まで)
定 休 日/ 日曜日、祝祭日(不定休)
当サロンは、LINEからのみ
ご予約・ご相談を受け付けております。
<お車でお越しの方へ>
契約の駐車場はございません。
近隣のコインパーキングご利用ください。
<電車をご利用のお客様>
・JR日豊本線大分駅で下車、
府内中央口(北口)から徒歩7分
<バスをご利用のお客様>
・大分バス中央通りトキハ前1番・2番で降車、徒歩0分
・大分バス中央通り5番・6番で降車、徒歩1分
・大分交通中央通り6番で降車、徒歩1分









